Common Orthodontic Issues
The Smile Team at Lewis Orthodontics sees all kinds of orthodontic issues every day. These include crowded teeth, deep overbites, underbites, open bites, over jets, and missing teeth. All are common orthodontic issues in adults and children. Whether you are concerned about aesthetics or oral health, we can fix your teeth and improve your dental function and appearance. You may not even need braces – in some cases, a treatment without braces is sometimes appropriate as a treatment plan. The American Association of Orthodontists recommended children be seen around the age of 7 to prevent some future problems with their teeth as the come in to the mouth.
Below, we discuss the most common orthodontic issues in more detail. These issues affect both children and adults, but all of them can be successfully treated so you or your child can learn to smile with confidence.
Remember, the earlier we can start treatment the better, so don’t delay – contact us today!
Crowded Teeth
Crowded teeth are a common problem in children and adults. The problem can normally be corrected by fixed braces or Invisalign for 16-months to two years for most patients. Crooked teeth can cause bad breath, and gum/bone problems later in life because of difficulties in cleaning. This can lead to lack of self-esteem for some people. Dr. Lewis can help you have a smile you are proud of for the rest of your life!
Open Bite
Many children suck their thumb as a baby. Often, the habit disappears as a child matures and no permanent damage is done. However, if a child continues with their thumb-sucking habit, it can cause an open bite where the front teeth do not touch when the back teeth are biting down. This can be corrected with braces, and through the use of a special appliance called a crib, which retrains the tongue. Mouth-breathing often contributes to this as well, so correcting the reason a person can’t breathe through their nose at an early age can make a huge difference in facial development when caught early.
Another cause of an open bite is a tongue thrusting habit. The tongue being in the wrong position can cause the palate formation and growth of the jaws to be abnormal. The tongue also keeps the teeth from erupting properly, which can cause the front teeth not to hit properly. When caught early, growth problems and more extensive treatment, even surgery, can be prevented with proper orthodontic care.
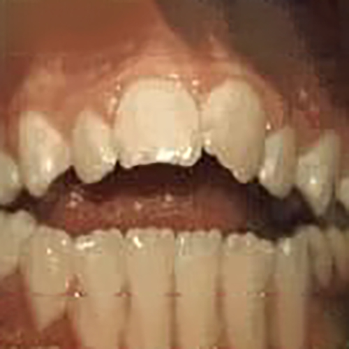
Deep Overbite
A deep overbite is where the upper teeth cover too much of the lower teeth when you bite down. It can make it where the front teeth hit harder than the back teeth and cause fracture and wear of the enamel. Sometimes the lower teeth even hit the palate and can cause the gum tissue to shrink away from the teeth! Leaving a deep bite untreated can cause extensive dental work later due to spacing, wear of the teeth, fracture and loss of teeth, and even surgery of the jaw.
Underbite
An excessive underbite will cause jaw pain and excessive wear and tear on teeth. An underbite can be corrected using braces to improve the patient’s smile and dental function. Leaving an underbite untreated as an adult can also require jaw surgery.
Overjet
An overjet is when the top teeth protrude over the bottom teeth. This is typically corrected using two phases of treatment to help the jaw align more harmoniously and move the patient’s teeth into the correct position.
Non-braces Treatment
We don’t always use braces to achieve a noticeable improvement in teeth alignment. If a non-braces treatment plan is commenced at an early age, permanent teeth will have more room to move into the correct position. This is why we recommend that children be seen around the age of 7, as prompt treatment can often avoid the need for braces, prevent extractions, and reduce overall time in braces.
Missing Teeth
Braces are used to move teeth into the correct position before missing teeth are replaced with bonded Maryland bridges, conventional bridges, or implants to assure the proper tooth size for maximum aesthetics. The result is improved dental function and aesthetics.
Phase One Treatment
Phase one treatment is any type of early treatment before a child has lost all the primary teeth and corrects a particular problem. In younger children, this is often enough to correct overcrowding, misaligned permanent teeth, make room for teeth that do not have enough room to erupt, and correct crossbites. Twelve months of phase one treatment will often be enough to improve appearance and function of a patient’s teeth. It can reduce overall treatment time, prevent extractions of permanent teeth, and jaw surgery.
If you have concerns about any of the above common orthodontic issues, contact the Lewis Orthodontics Smile Team for a complimentary consultation.
